OUR
SOLUTIONS
Your Full-Service Dental Lab
Crafting state-of-the-art dental solutions with cutting-edge tools and expert craftsmanship to serve your patients with precision and quality.


CATEGORIES
Comprehensive Dental Solutions
Explore our complete range of dental solutions designed to meet every clinical need with precision and quality.

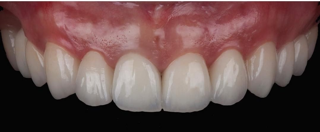
Fixed
The Most Durable Crowns and Bridges

Implants
Designed for Maximum Longevity

Dentures
Customized for Your Comfort

Orthodontics
Tailored Esthetic Solutions
POPULAR
MATERIALS
Discover high-quality materials preferred by
dental professionals worldwide.
Solid Zirconia
A durable, natural looking, metal-free solution for their most challenging restorations.
Layered Zirconia
A durable, natural looking, metal-free solution for their most challenging restorations.
TRU SMILE
DIFFERENCES
We craft advanced, personalized solutions designed to meet your unique needs with precision and care.
Expert
Craftsmanship
Experienced technicians combining modern technologies with exquisite dental craftsmanship.
Rapid
Service
Quick turnaround times without compromising quality.



Rapid
Service
Quick turnaround times without
compromising quality.
Expert
Craftsmanship
Experienced technicians
combining modern technologies
with exquisite dental
craftsmanship.

EXPERIENCE THE ARTISTRY AND
PRECISION OF TRUSMILE
Sign Up and Claim Your Free Case Review